El proyecto, “Impulsando la atención clínica y la equidad mediante soluciones escalables para el diagnóstico y tratamiento de la enfermedad de Alzheimer” (ACCESS-AD por sus siglas en inglés), es un proyecto de cinco años financiado por la Iniciativa de Salud Innovadora (IHI) de la UE, cuyo objetivo es mejorar el acceso a la atención personalizada y generar evidencia en la práctica clínica diaria
Codirigido por Siemens Healthineers, el proyecto ACCESS-AD busca establecer una estrategia colaborativa y centrada en el paciente para la atención del Alzheimer en toda Europa y en el mismo colaboran más de 30 socios europeos (hospitales, universidades, organizaciones de pacientes, industria:::) que aportarán su experiencia en neurología, imagen médica, ciencia de datos y defensa de los pacientes.

ACCESS-AD nace para dar respuesta a la demanda de muchos sistemas nacionales de salud que se ven limitados por los cuellos de botella en el diagnóstico del Alzheimer y la capacidad asistencial, incapaces de satisfacer la demanda de pruebas, imágenes y atención de seguimiento especializada, lo que pueden provocar listas de espera de hasta años si no se adoptan innovaciones organizativas y tecnológicas.
El objetivo es acompañar al paciente desde el diagnóstico hasta el tratamiento y el seguimiento continuo, integrando aprendizajes de otras iniciativas del IHI y fomentando la colaboración a nivel europeo. La iniciativa busca mejorar la atención mediante:
- la estandarización de los procedimientos
- la integración de soluciones industriales de vanguardia
- el uso de la inteligencia artificial (IA) para la gestión avanzada de la enfermedad
Entre las acciones previstas, se incluyen el análisis de imágenes médicas, análisis de sangre y datos de salud digitales, con el fin de ayudar a predecir la respuesta al tratamiento e identificar a los pacientes con mayor riesgo de complicaciones. Además, el proyecto recopilará datos reales de más de 500 pacientes de toda Europa y desarrollará un estudio piloto para evaluar combinaciones de terapias farmacológicas e intervenciones en el estilo de vida para el cuidado del Alzheimer.
La compañía Siemens Healthineers lidera la contribución industrial dentro de este proyecto, cofinanciado por la Iniciativa de Salud Innovadora (IHI), una asociación público-privada entre la Unión Europea y la industria de las ciencias de la vida.
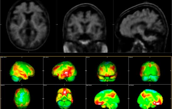
Como actor clave del ecosistema del Alzheimer, Siemens Healthineers impulsa el desarrollo y la validación de soluciones para todo el recorrido asistencial del paciente, desde el análisis de sangre para la detección precoz hasta técnicas de imagen avanzadas como la resonancia magnética (RM) y la tomografía por emisión de positrones (PET) para el diagnóstico y el seguimiento durante el tratamiento.
La atención se ha centrado tradicionalmente en el tratamiento sintomático, pero la llegada de nuevas terapias modificadoras de la enfermedad (DMT) desde 2025 a la Unión Europea ofrece nuevas esperanzas. Pese a ello, la enfermedad de Alzheimer sigue siendo un importante reto médico y social, con más de siete millones de personas afectadas solo en la UE, una cifra que se espera que se duplique para 2050. El impacto afecta no solo a los enfermos, sino también a sus familias, cuidadores y a los sistemas sanitarios.
Tal y como indica Amira Romani, directora de Innovación y Estrategia Tecnológica de Siemens Healthineers, “hoy en día, la atención al paciente de Alzheimer sigue siendo fragmentada y lenta. ACCESS-AD reúne a organizaciones líderes de toda Europa para facilitar el acceso a diagnósticos y tratamientos avanzados”. “Es un ejemplo claro de lo que podemos lograr cuando la industria, la academia y los socios clínicos colaboran con un objetivo común: mejorar la atención personalizada del paciente”, señala.
En el marco de ACCESS-AD, Siemens Healthineers facilitará la recogida de muestras simples de sangre en casa a los pacientes, lo que permitirá analizar biomarcadores clave del Alzheimer en las plataformas de laboratorio de la empresa, y trabajará también en reducir las barreras técnicas, operativas y económicas que limitan el acceso a técnicas de neuroimagen avanzadas en Europa, liderando el desarrollo y la implementación clínica de soluciones de RM y PET, escalables más allá de los centros altamente especializados.